Secretory meningioma. 1. Ink on paper 2. MRI POST SAG MPR 3. H&E 4. PAS #neuropath #neuropathology #neurosurgery #neuroradiology #inktober
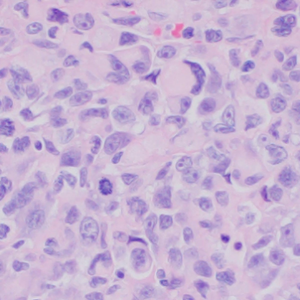
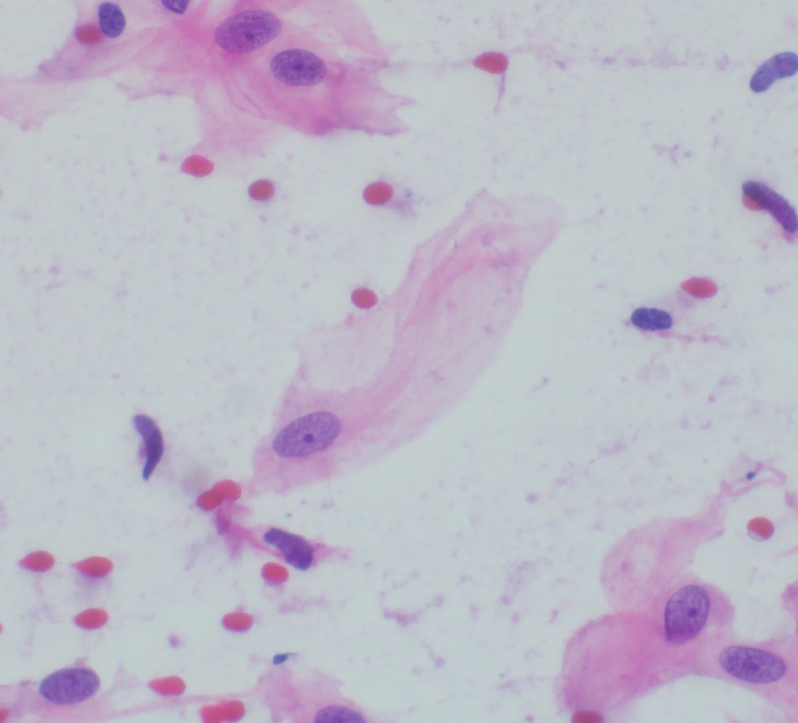
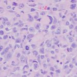
Solitary plasmacytoma. 1. T1 AX MPRAGE + C 2. Smear 3. H&E 4. Ink on paper #neuropath #neuropathology #neurosurgery #neuroradiology #inktober
Multiple ring enhancing brain masses in 80s patient. What am I? 1. Ink on paper. 2. MRI: POST COR T1 FS 3. H&E 4. GMS #neuropath #neuropathology #neurosurgery #neuroradiology #inktober
Metastatic prostatic adenocarcinoma. 1. Ink on paper 2. H&E 3. MRI T1 MPRAGE ISO 4. H&E #neuropath #neuropathology #neurosurgery #neuroradiology #inktober
One of the best smearing brain tumors: meningioma. 1. Ink on paper 2. H&E smear prep #neuropath #neuropathology #neurosurgery #neuroradiology #inktober
5cm sub-occipital mass. 1. Ink on paper 2-4. H&E #neuropath #neuropathology #neurosurgery #neuroradiology #inktober
Metastatic colon cancer to brain. Note the smooth border to the adjacent brain tissue. 1-2. Ink on paper 3. H&E 4. CDX-2 #neuropath #neuropathology #neurosurgery #neuroradiology #inktober
T2 bright enhancing brain lesion. What am I? 1. Ink on paper 2-4. H&E #neuropath #neuropathology #neurosurgery #neuroradiology #inktober
Meningioma psamomma body party! 1. Ink on paper 2-3. H& E. 4. Ki-67 #neuropath #neuropathology #neurosurgery #neuroradiology #inktober
The elusive chordoid meningioma. 1. Pencil on paper 2. T2 COR POST 3. Smear 4. H&E #neuropath #neuropathology #neurosurgery #neuroradiology #inktober
Benign hemangioma of bone. 1. MRI: T1 COR POST 2. H&E 3. Trichrome 4. Ink on paper. #neuropath #neuropathology #neurosurgery #neuroradiology #inktober
C7 intradural extramedullary mass. 1. Ink on paper 2. H&E 3. SOX10 4. Neurofilament #neuropath #neuropathology #neurosurgery #neuroradiology #inktober
L2 filum terminale lesion 1. Ink on paper 2. H&E 3. GFAP 4. Alcian blue (2.5) #inktober #neuropath #neuropathology #neurosurgery #neuroradiology
L2 filum terminale lesion 1. Ink on paper 2. H&E 3. GFAP 4. Alcian blue (2.5) #inktober #inktober2021 #neuropath #neuropathology #neurosurgery #neuroradiology
Inktober 22: Pseudopalisading in GBM #inktober #inktober2021 #neuropath #neuropathology #neurosurgery #neuroradiology
Inktober #19: Meningothelial whorls. #inktober #inktober2021 #neuropath #neuropathology #neurosurgery #neuroradiology
Inktober day 12: Subdural hematoma #inktober #inktober2021 #neuropath #neuropathology #neurosurgery #neuroradiology
Intktober day 10: base of brain For my forensic friends #inktober #inktober2021 #neuropath #neuropathology #neurosurgery #neuroradiology
Inktober day 6: Metastatic melanoma. #inktober #inktober2021 #neuropath #neuropathology #neurosurgery #neuroradiology
Inktober day #5 Behold the beautiful meningothelial cell on smear preparation. Stellar cytology. #inktober #inktober2021 #neuropath #neuropathology #neurosurgery #neuroradiology
過去2年分のデータに、これ以上の検索結果はありません。
(更に過去の検索結果を表示するには、
ログインが必要です)
これ以上の検索結果の表示には、
ログインが必要です。
Twoucan が気に入りましたら @twoucanをフォロー または Twitterでシェア で応援をお願いします!
このツイートに主として含まれるのは、【***】ではなく、以下の画像です。
This site is protected by reCAPTCHA and the GooglePrivacy Policy and Terms of Service apply.
報告ありがとうございました!
内容を確認のうえ、対応いたします。