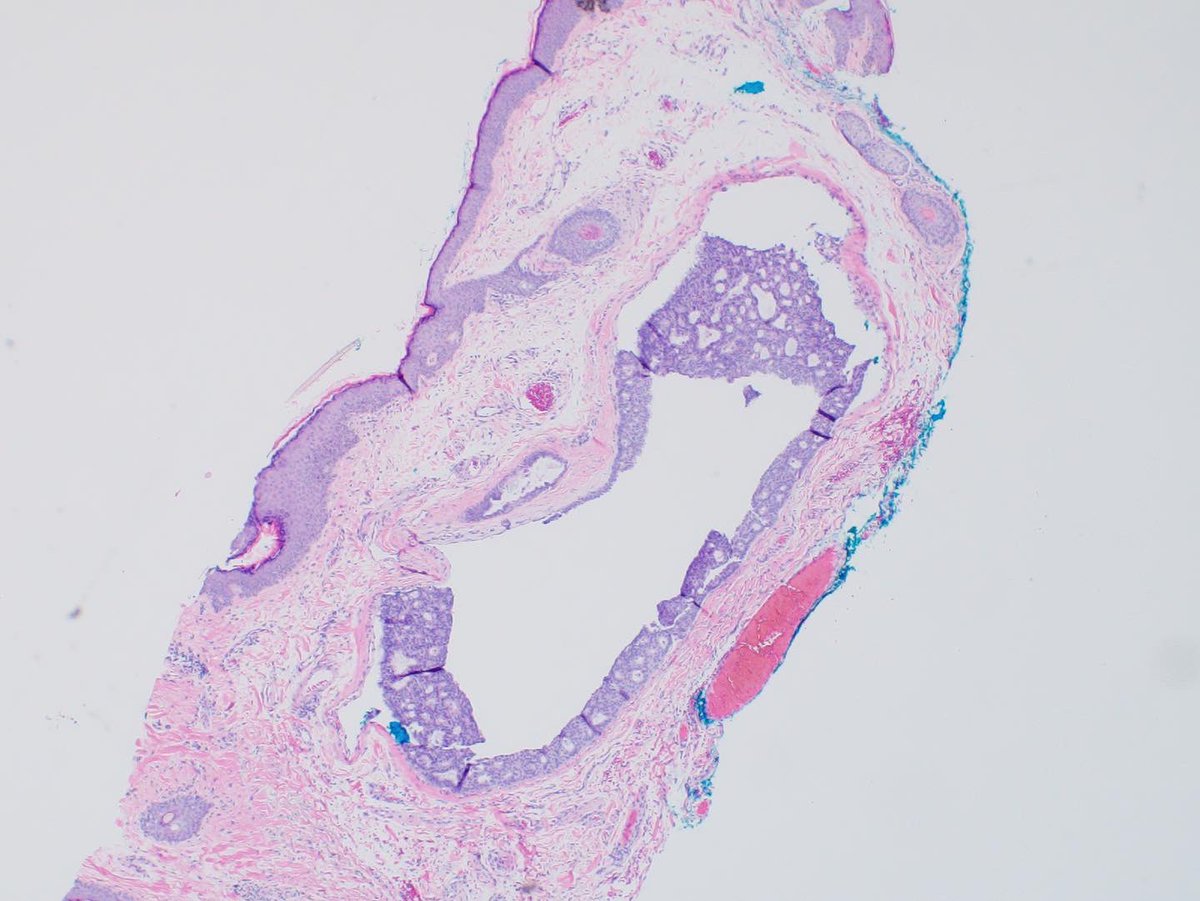
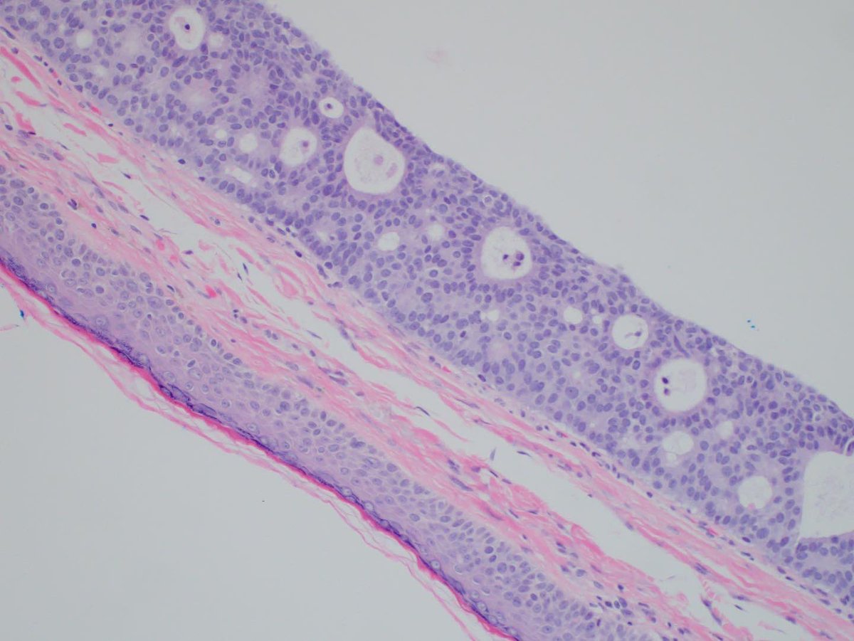
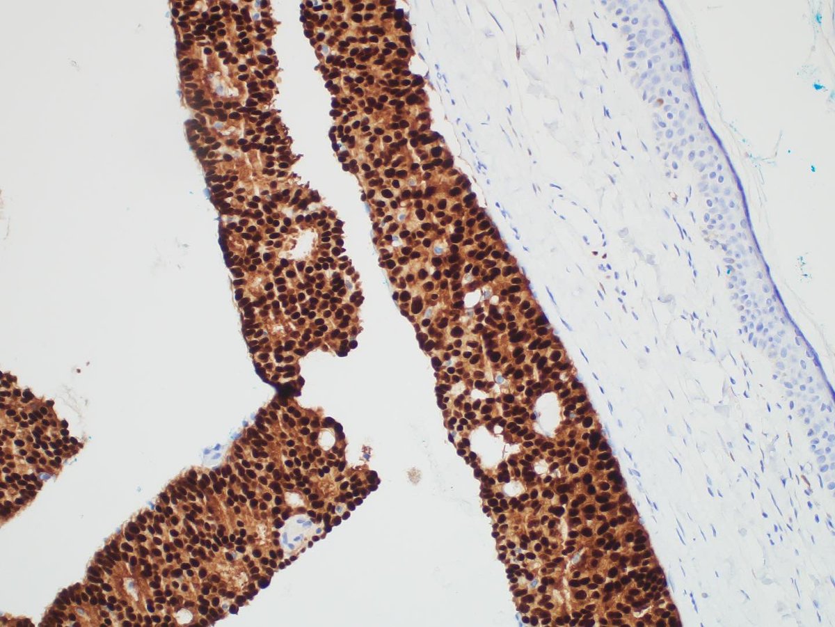
Endocrine mucin-producing sweat gland carcinoma of eyelid. What needs to be ruled out here? 1. Ink on paper 2-3. H&E 4. PR #neuropath #neuropathology #eyepathology #ophthalmology #inktober #inktober2022
This is one of the best things I’ve ever drawn. I’m 100% serious. This is a self-portrait of my insomnia #eye for new #365 series. What was different when I sat down to make this tonight?! Anyway, I’m grateful. #art #ArtistOnTwitter #Ophthalmology
過去2年分のデータに、これ以上の検索結果はありません。
(更に過去の検索結果を表示するには、
ログインが必要です)
これ以上の検索結果の表示には、
ログインが必要です。
Twoucan が気に入りましたら @twoucanをフォロー または Twitterでシェア で応援をお願いします!
このツイートに主として含まれるのは、【***】ではなく、以下の画像です。
This site is protected by reCAPTCHA and the GooglePrivacy Policy and Terms of Service apply.
報告ありがとうございました!
内容を確認のうえ、対応いたします。